Menu
Contact right yellow circle arrow right white circle arrow 01527 362 000 right yellow circle arrow right white circle arrow Book Online right yellow circle arrow right white circle arrow

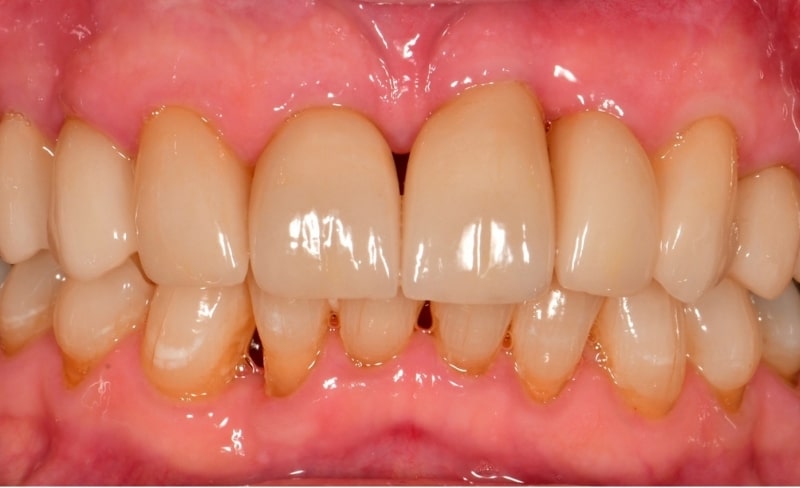
Following periodontal treatment, the patient wanted to improve the appearance of his teeth.

We provided veneers for his upper teeth and replaced the missing ones with an implant.

For more information regarding this treatment
Contact right yellow circle arrow right white circle arrow Or call 01527 362 000
Back to Smile Gallery left yellow circle arrow left white circle arrow

Contact

Get in touch

Testimonials

Patient Testimonials

Hear from our happy patients about their smile transformations.

Explore right yellow circle arrow right white circle arrow
google thumb
star

After childhood, in the 1960s and early ’70s, my teeth were filled multiple times, and they started to break and crumble. I had all my teeth removed under...

Richard P.

google thumb
star

I began the treatment with much trepidation, as this was a significant undertaking for me. From the start, I found Gurwinder very appreciative of my situation. Throughout the...

Nigel B.

google thumb
star

Well, here I go, I have never been a fan of writing reviews, but in this instance, I am willing to make an exception. Why? I felt that...

Glyn M.

google thumb
star

My appointment was a one-hour assessment to determine the best course of action for addressing my damaged molar. Initially apprehensive, I felt optimistic by the end. Dr Dhesi...

Phillip T.

google thumb
star

I cannot speak highly enough of my experience. I had previously had a lifelong nervousness about dentists, and partly as a result, I had developed many complex problems...

Tony R.

google thumb
star

Great dental practice – everyone is friendly and professional. Treatment is explained clearly, and pricing is fair and transparent. I would recommend it!

Madeline R.

google thumb
star

Great Dentist and team! They made my father a pair of dentures that fit perfectly and didn’t cause him the discomfort that his previous ones from a different...

Dipesh S.

Bromsgrove Dental Specialists icon

Book Your Consultation Today!

Take the first step toward a healthier, more confident smile with our skilled dental team.

Book Online right white circle arrow right yellow circle arrow
Teeth in a Day 🦷✨

For patients struggling with failing, wobbly, or unaesthetic teeth, Teeth in a Day can be a life-changing solution.

With detailed planning, we can remove the affected teeth, place dental implants (usually a minimum of four), and fit a fixed bridge — all in a single day.

For the right cases, it means walking out with a secure, natural-looking smile in a very short space of time — restoring comfort, confidence, and quality of life.

A complete smile transformation, without the long wait 🤍

#teethinaday #fullarchimplants #birminghamdentist #dentalimplant #bromsgrovedentist
“Is this going to hurt?”

It’s the question we hear most — and the answer is no 🤍

Meet Karan, our specialist oral surgeon. From day one, his calm, gentle approach is designed to help patients feel at ease during what can often be a nerve-wracking experience.

Oral surgery isn’t just about the procedure itself — it’s about taking the time to listen, build trust, and guide patients through the journey with empathy and reassurance. With modern anaesthetics and advanced techniques, treatment today is far more comfortable than many expect.

Seeing the relief on a patient’s face at the end of a procedure is what makes it all worthwhile ✨

If you’re feeling anxious about oral surgery, you’re in safe hands.

Book your consultation today at www.bromsgrovedentalspecialists.com

📍Bellway House, 7 Worcester Road, Bromsgrove, B61 7DL

☎️ 01527 362 000

📩 info@bromsgrovedentalspecialists.com

#oralsurgery #bromsgrovedentist #bromsgrovehealth #bromsgrove #oralsurgeon
“When I first came in, I was a jittering wreck.”

Rosalind came to us with a badly infected upper right molar and the emotional weight that comes with losing a tooth — especially one so visible.

Through clear explanations, complete transparency on costs and timelines, and a calm, gentle approach throughout, we were able to place two upper right implants and restore her smile.

Today, her implants look and feel like natural teeth — and more importantly, her confidence has been fully restored.

Feeling safe, heard, and cared for is just as important as the clinical result 

Book your consultation today at www.bromsgrovedentalspecialists.com

📍Bellway House, 7 Worcester Road, Bromsgrove, B61 7DL

☎️ 01527 362 000

📩 info@bromsgrovedentalspecialists.com

#dentalimplantsurgery #bromsgrovedentist #bromsgrove #worcestershiredentist #dentistrybirmingham
✨ Why patients love Invisalign® ✨

Discreet. Comfortable. Flexible.

That’s why Invisalign is such a popular choice for straightening teeth 🤍

✔️ Clear aligners you barely notice
✔️ Removable for eating & cleaning
✔️ Results often start showing in weeks
✔️ Friends and family usually spot the change first

💡 Who’s a great candidate?

Anyone who wants to improve their smile and is motivated to wear their aligners as prescribed.

🦷 Invisalign at Bromsgrove Dental Specialists

What makes us different is the whole package —

• Advanced digital planning for precision
• Experience managing both simple and complex cases
• A luxury patient experience from the moment you walk in

✨ Finishing touches matter

Many patients choose whitening, composite bonding or veneers after Invisalign — all available in-house for a seamless smile makeover.

📩 Book a consultation

www.bromsgrovedentalspecialists.com

📍Bellway House, 7 Worcester Road, Bromsgrove, B61 7DL

☎️ 01527 362 000

📩 info@bromsgrovedentalspecialists.com

#invisalign #invisalignbromsgrove #clearaligners #bromsgrovedentist #bromsgrovebeauty #worcestershiredentist #invisalignbirmingham #ConfidentSmiles
“Three reasons patients trust me with their skin ✨

1. I understand your concerns because I’ve lived them myself.

2. As a doctor, every treatment I offer is guided by science, safety and what’s right for you — not trends.

3. I support you throughout your journey, with ongoing check-ins and a focus on long-term skin confidence.”

#bromsgrove #bromsgroveaesthetics #bromsgroveskincare #worcestershireaesthetics #doctorledaesthetics #medicalaestheticsuk #skinconfidence #naturalresults #facialaesthetics
Skincare isn’t just about today — it’s about your future ✨

From sun protection and slowing premature ageing, to supporting cell turnover and preventing fine lines, a preventative approach to skincare makes a real difference. Even a simple consultation and the right products, used the right way, can bring lifelong benefits.

Life is busy — but when you feel good in your skin, confidence follows 🤍

#preventativeskincare #skinhealthexperts #bromsgrovebeauty #facialaesthetics #doctorledcare #confidenceinyourskin
Google Rating
5.0
Google Rating
Google-review