Upper arch all-on-4 dental implant retained bridge to provide a fixed solution for the patient.
ExploreSmile makeover to manage the failing upper bridge using crowns, bridges and dental implants.
ExploreImplant retained crown and an implant retained bridge to replace the missing teeth, providing a natural result.
ExploreUpper arch all-on-4 implant retained bridge and lower arch rehabilitation using crowns and bridges to provide a complete smile transformation…
ExploreUpper and lower implant retained bridges to manage this failing dentition with All-on-6 in the lower jaw and an implant…
ExploreHear from our happy patients about their smile transformations.
ExploreTake the first step toward a healthier, more confident smile with our skilled dental team.
Book Online
Replacing a missing front tooth with a single implant may seem simple — but achieving a result that truly blends in is anything but.
In the aesthetic zone, every detail matters.
The position of the implant, the surrounding gum tissue, the shape of the final crown, and how it sits alongside the natural teeth all have to be meticulously planned and executed.
When done well, the result should not stand out. It should disappear into the smile.
This case is a great example of how careful planning and precise treatment can create an implant restoration that looks natural, harmonious, and beautifully integrated.
If you are considering replacing a missing tooth and want a result that blends seamlessly with your natural smile, book a consultation with us.
Book your consultation today at www.bromsgrovedentalspecialists.com
📍Bellway House, 7 Worcester Road, Bromsgrove, B61 7DL
☎️ 01527 362 000
📩 info@bromsgrovedentalspecialists.com
#bromsgrovedentist #birminghamimplants #dentalimplant #worcestershiredentist #bromsgrove
Replacing 10 missing teeth with just 4 implants — and making it look completely natural.
This upper implant-retained bridge wasn’t just about restoring function… it was about recreating nature.
We began with a temporary bridge to carefully shape the soft tissues, guiding the gums into the ideal position. This allowed the final bridge to emerge seamlessly — giving the appearance that the teeth are coming through the gum, just like natural teeth.
Behind the scenes, every step was precisely planned using:
• 3D CT scanning
• Digital implant planning
• Guided surgery
This level of accuracy ensures optimal implant positioning — which is key to both aesthetics and long-term success.
The result?
A strong, stable smile that looks and feels as natural as possible.
This is modern implant dentistry — where planning, precision, and biology come together.
—
Book your consultation today at www.bromsgrovedentalspecialists.com
📍Bellway House, 7 Worcester Road, Bromsgrove, B61 7DL
☎️ 01527 362 000
📩 info@bromsgrovedentalspecialists.com
#dentalimplants #implantbridge #bromsgrovedentist #smilerestoration #bromsgrove
Sometimes the biggest transformations come from the smallest changes.
This patient was missing their lateral incisors, which can often lead to more complex treatment plans. Instead, we took a minimally invasive approach — using composite bonding on the canine teeth to carefully reshape and mask them as lateral incisors.
No drilling. No major intervention. Just precise, thoughtful dentistry.
The result?
A natural, balanced smile with a huge aesthetic impact — achieved with minimal treatment.
This is what modern dentistry should be:
• Conservative
• Effective
• Designed to last
And importantly — it also means lower initial and long-term costs for the patient.
Less treatment. More impact.
—
If you’re exploring options to improve your smile, there’s often more than one way to get there.
Book your consultation today at www.bromsgrovedentalspecialists.com
📍Bellway House, 7 Worcester Road, Bromsgrove, B61 7DL
☎️ 01527 362 000
📩 info@bromsgrovedentalspecialists.com
#compositebonding #cosmeticdentistryuk #dentalaesthetics #bromsgrove #bromsgrovedentist
What is Invisalign? 🦷✨
It’s not just “clear braces.”
Invisalign uses a series of custom-made clear aligners, digitally designed to move your teeth into their ideal position — with precision, comfort, and control.
You can even see your future smile before starting treatment.
With advanced SmartTrack technology, aligners are designed for a better fit, improved comfort, and predictable results — all while being discreet enough to fit around your everyday life.
At Bromsgrove Dental Specialists, we also offer 0% finance to help make treatment more accessible.
If you’ve been thinking about straightening your teeth, now could be the time.
Book a consultation to find out if Invisalign is right for you.
www.bromsgrovedentalspecialists.com
📍Bellway House, 7 Worcester Road, Bromsgrove, B61 7DL
☎️ 01527 362 000
📩 info@bromsgrovedentalspecialists.com
#invisalign #TeethStraightening #smiletransformation #clearaligners #bromsgrovedentist
How long does Invisalign take? ⏳🦷
It depends on your smile.
For mild to more complex cases, treatment can range from 3 to 18 months, with the average around 9 months.
Here’s how it works:
• Aligners are usually changed weekly
• Each set gently moves your teeth closer to the final result
• You’ll need to wear them for 22 hours a day
That last part is key 👇
Consistency = results
The more disciplined you are with wear time, the smoother and faster your treatment will be.
At your consultation, we’ll give you a personalised timeline so you know exactly what to expect
Thinking about Invisalign? Let’s map out your smile.
Book your consultation today at www.bromsgrovedentalspecialists.com
📍Bellway House, 7 Worcester Road, Bromsgrove, B61 7DL
☎️ 01527 362 000
📩 info@bromsgrovedentalspecialists.com
#invisalign #teethstraightening #bromsgrove #clearaligners #dentaltransformation
From gaps and flaring… to a confident, balanced smile ✨
This patient was unhappy with spacing, flared teeth, and discolouration. With just 13 weeks of aligners, followed by tooth whitening and retainers, we were able to completely transform her smile.
No more gaps.
No more flaring.
A healthier bite.
A brighter, whiter finish.
But the most important result?
A huge boost in confidence. 🤍
If you’ve been thinking about Invisalign, we’d be happy to guide you through your options.
Book your consultation today at www.bromsgrovedentalspecialists.com
📍Bellway House, 7 Worcester Road, Bromsgrove, B61 7DL
☎️ 01527 362 000
📩 info@bromsgrovedentalspecialists.com
#invisalign #smiletransformation #teethstraightening #teethwhitening #bromsgrovedentist
➡️ Swipe for more information
Full lower denture secured with 2 dental implants – £7,990
If you’re struggling with loose lower teeth or an uncomfortable denture, this treatment can transform both function and confidence. By placing just two implants, we create a secure foundation that allows a full lower denture to “click” firmly into place.
✨ Improved stability – no more slipping or moving while speaking or eating.
✨ Better function – enjoy a wider variety of foods again, without worry.
✨ Renewed confidence – smile, laugh and socialise without the fear of dentures becoming loose.
✨ Cost-effective solution – fewer implants are needed compared to a full implant bridge, while still providing a secure, reliable result.
This is an excellent option for patients who want the benefits of implant security without the higher costs of a full set of implants.
Book your consultation today at
www.bromsgrovedentalspecialists.com
📍Bellway House, 7 Worcester Road, Bromsgrove, B61 7DL
☎️ 01527 362 000
📩 info@bromsgrovedentalspecialists.com
#bromsgrovedentist #bromsgrovebeauty #dentures #dentalimplantsbirmingham #worcestershiredentist
✨ Why patients love Invisalign® ✨
Discreet. Comfortable. Flexible.
That’s why Invisalign is such a popular choice for straightening teeth 🤍
✔️ Clear aligners you barely notice
✔️ Removable for eating & cleaning
✔️ Results often start showing in weeks
✔️ Friends and family usually spot the change first
💡 Who’s a great candidate?
Anyone who wants to improve their smile and is motivated to wear their aligners as prescribed.
🦷 Invisalign at Bromsgrove Dental Specialists
What makes us different is the whole package —
• Advanced digital planning for precision
• Experience managing both simple and complex cases
• A luxury patient experience from the moment you walk in
✨ Finishing touches matter
Many patients choose whitening, composite bonding or veneers after Invisalign — all available in-house for a seamless smile makeover.
📩 Book a consultation
www.bromsgrovedentalspecialists.com
📍Bellway House, 7 Worcester Road, Bromsgrove, B61 7DL
☎️ 01527 362 000
📩 info@bromsgrovedentalspecialists.com
#invisalign #invisalignbromsgrove #clearaligners #bromsgrovedentist #bromsgrovebeauty
➡️ Swipe to hear from our principal Dr Gurwinder Dhesi
✨ Treatment carried out by a specialist clinician – ensuring the highest standards of precision and patient care.
✨ Premium dental implant system – chosen for its reliability, long-term success, and excellent clinical outcomes.
✨ Final crown crafted by a highly skilled UK dental laboratory – custom-made for a natural, seamless fit and beautiful aesthetics.
Together, this combination of specialist expertise, world-class implant technology, and exceptional craftsmanship ensures a result that is not only functional and long-lasting, but also looks and feels just like a natural tooth.
Book your consultation today at
www.bromsgrovedentalspecialists.com
📍Bellway House, 7 Worcester Road, Bromsgrove, B61 7DL
☎️ 01527 362 000
📩 info@bromsgrovedentalspecialists.com
#bromsgrovedentist #bromsgrovebeauty #dentalimplants #dentalimplantsbirmingham #worcestershiredentist
✨ From Missing Tooth to Complete Smile Harmony ✨
This patient presented with:
▪️ A missing upper incisor
▪️ An old composite filling
▪️ Spacing that wasn’t ideal for implant placement
Rather than rushing to replace the tooth, we started with Invisalign to carefully align the teeth and create the ideal space for a natural-looking implant.
Once the position was perfected, we:
✔️ Placed a dental implant to replace the missing incisor
✔️ Carried out professional whitening to brighten the smile
✔️ Replaced the old filling with beautifully blended composite bonding
The result?
A seamless, balanced smile where everything works in harmony — functionally and aesthetically.
Sometimes the best results come from slowing down, planning properly, and combining treatments to achieve the most natural outcome.
Book your consultation today at www.bromsgrovedentalspecialists.com
📍Bellway House, 7 Worcester Road, Bromsgrove, B61 7DL
☎️ 01527 362 000
📩 info@bromsgrovedentalspecialists.com
#invisalignjourney #dentalimplant #compositebonding #bromsgrovedentist #bromsgrovebeauty
✨ Smile Transformation – Natural. Secure. Age-Appropriate. ✨
This patient’s main goal was simple:
✔️ Keep as many of his natural teeth as possible
✔️ Achieve a result that looked natural for his age
✔️ Feel secure when eating and speaking
We provided upper and lower partial implant-retained dentures, carefully designed to click securely into place.
Unlike traditional dentures, these:
🔹 Don’t move around
🔹 Feel stable when eating
🔹 Avoid visible metal clips
🔹 Maintain a natural, age-appropriate appearance
By strategically placing implants to support the dentures, we were able to dramatically improve function and confidence — while preserving remaining healthy teeth.
Dentistry isn’t just about replacing teeth.
It’s about finding the right solution for you.
Book your consultation today at
www.bromsgrovedentalspecialists.com
📍Bellway House, 7 Worcester Road, Bromsgrove, B61 7DL
☎️ 01527 362 000
📩 info@bromsgrovedentalspecialists.com
#implantretaineddentures #partialdenture #dentalimplants #smiletransformation bromsgrovedentist
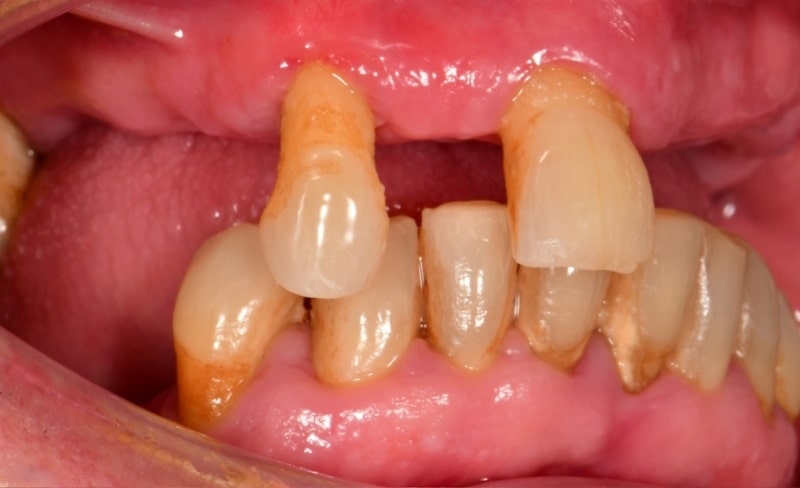
✨ Upper & Lower All-on-4 Transformation ✨
This patient came to us with advanced gum disease.
His teeth were extremely loose, significant bone had been lost, and they had started to drift — making eating difficult and social situations uncomfortable.
After careful planning, we provided upper and lower All-on-4 implant treatment, removing the failing teeth and restoring his smile with fixed, full-arch implant bridges.
The result?
✔️ Stable, secure teeth
✔️ Restored function
✔️ The confidence to eat, speak and socialise without hesitation
Severe gum disease can feel overwhelming — but there are solutions. With the right planning and experience, we can rebuild both your smile and your quality of life.
Book your consultation today at
www.bromsgrovedentalspecialists.com
📍Bellway House, 7 Worcester Road, Bromsgrove, B61 7DL
☎️ 01527 362 000
📩 info@bromsgrovedentalspecialists.com
#allon4 #bromsgrovedentist #birminghamdentist #implantdentist #smiletransformation
